
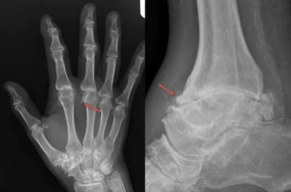
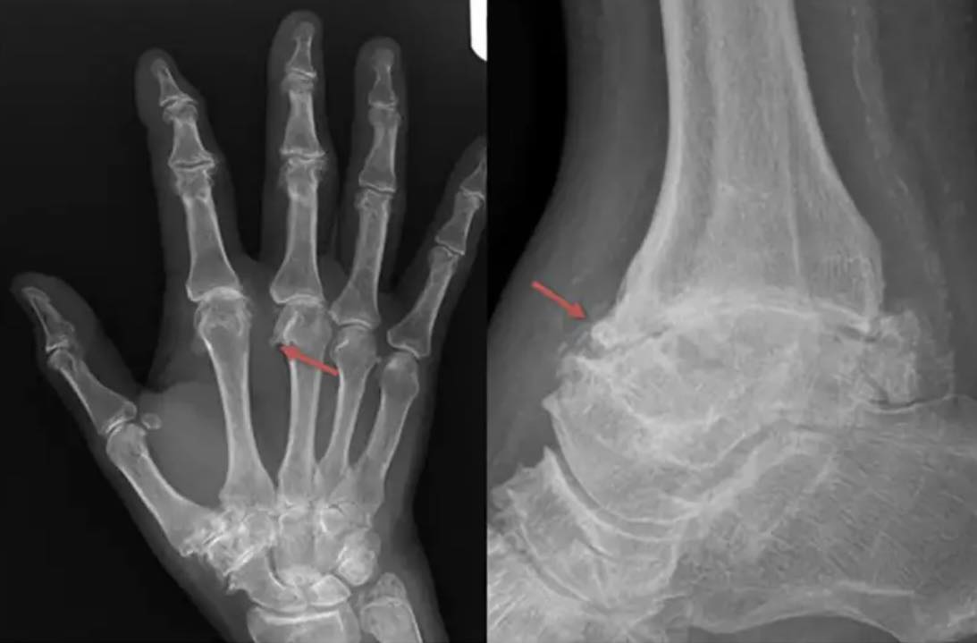
The EULAR 2025 classification criteria for haemochromatosis arthropathy have been published.
Congratulations to Professor Patrick Kiely and all involved in the task force – Stephanie Finzel,
Graeme Carroll, Geraldine McCarthy, John Stack, Simone Parisi, Graca Porto, Pascal Richette, Gyorgy Nagy, Marton Weidl, Ann Rosenthal, Pascal Guggenbuhl, Katarzyna Banaszkiewicz, Svenja Engelhardt, Jeremy Shearman, DavidMitchell, Jane Barker, Valerie Brueton, Barbara Butzeck, Philip Coathup,
Howard Don, Jacqueline Dowsett, Marie Duncan, Tracey Dunleavy,Ian Fish, Allin Hoggarth, Mark McKinnon, James Minter,Tim Osborne, Marguerite Smith, Christine Wright, Pedro M. Machado.
Special thanks to Howard Don, past president of Haemochromatosis International and Dr Barbara Butzeck, President of EFAPH for their involvement representing patients on this project. You can read the paper published in the Annals of the Rheumatic Diseases here.
